На сайте используются cookies. Продолжая использовать сайт, вы принимаете условия
Ok
1 Подписывайтесь на RusTopNews.Online в MAX Все ключевые события — в нашем канале. Подписывайтесь!
Все новости
Новые материалы +
Размер текста
А
А
А

«Головокружение и тошнота»: российские врачи спасли мужчину с нетипичными проявлениями инсульта

В Подмосковье спасли мужчину с нетипичными проявлениями инсульта
true
true
true

Врачи Регионального сосудистого центра Мытищинской больницы спасли 48-летнего мужчину, у которого во сне случился инсульт. Об этом сообщили в пресс-службе минздрава Московской области.

Пациент рассказал, что его самочувствие ухудшилось ночью, а утром он не смог подняться с кровати. Его беспокоили сильное головокружение и тошнота, поэтому он решил обратиться за помощью. Прибывшая на вызов скорая приняла решение о госпитализации.

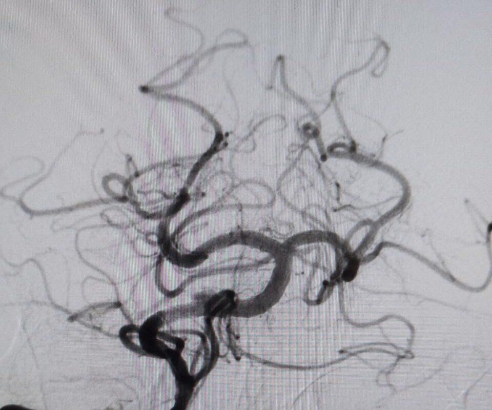
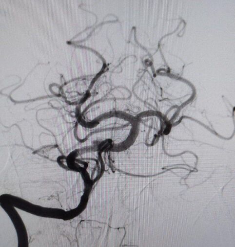
«В ходе обследования врачи диагностировали закупорку основной артерии, обеспечивающий кровоснабжение важнейших отделов головного мозга. Это очень тяжелое состояние с крайне высокой летальностью», — пояснили врачи.

Мужчине провели экстренную операцию, в ходе которой удалили тромб и установили стент.

После лечения пациента выписали домой.

Ранее волгоградку с тяжелым инсультом отказались эвакуировать санавиацией.

Что думаешь?